口腔卫生差,刷牙不认真,很少洗牙的人,容易导致牙龈炎,慢慢再发展成牙周病,终导致牙齿松动、脱落!

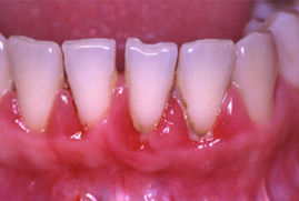
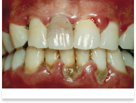
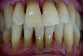
  • 牙龈炎有牙结石,刷牙易出血。

  • 早期牙周病 牙龈颜色暗红,肿大,有口臭。

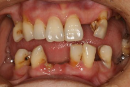
  • 中期牙周病 牙齿变色、变长、松动、口臭严重。

  • 晚期牙周病 牙龈萎缩,牙齿相继脱落,口臭严重。

我有牙周病,现在治疗来得及吗?+

———— 专业防治牙周病、安全有效 ————

菲特口腔,由6位经验丰富的医师组成,科室拥有瑞士、德国、荷兰等国引进的设备,治疗病变牙龈精确、安全、舒适无痛,全力保住牙齿的完整和健康。

  • 牙周治疗仪

    优势:轻柔无痛、不损伤 口腔组织、适用范围广、护牙固牙一举两得

  • 美国水镭射

    优势:2790nm激光能量 ,快速消除炎症,温和水激光,无痛舒适,促进软组织再生,术后恢复极快。

  • 瑞士EMS洁牙机

    优势:有效清洁牙结石、牙菌斑、牙垢、色素沉着,清新口气,使牙齿清爽洁净,牙龈健康不出血。

牙周病治疗要多久?+

————— 因病施治,全力恢复牙齿健康 —————

轻度牙周病治疗方案

龈上洁治

清除附着在牙体上的牙石和牙菌斑,促进受损的牙龈组织痊愈,减轻牙龈炎症,使牙齿美观,口腔舒适。

针对症状:龈上牙结石,牙菌斑等

优势:快速,无痛

推荐技术:瑞士EMS喷砂洁牙

龈下刮治

把牙龈下方的牙结石、龈下菌斑和牙周袋里的炎性肉芽组织清除,定期复诊,定期给牙周用药。是牙周病治疗中基础且有效的治疗方法。

针对症状:龈下牙结石、牙周袋

优势:高效、微创

推荐技术: 龈下刮治

中重度牙周病治疗方案

翻瓣手术

是将牙周袋内壁先分离,然后翻起粘骨膜瓣让病损部位充分暴露,再清除牙结石、牙菌斑等内容物,以消除刺激物以及平整根面。

针对症状:中重度牙周病,牙周袋较深或多个牙周袋等

优势:快速控制病情

推荐技术: 翻瓣刮治术

水镭射控制炎症

水镭射(水激光)由2790nm激光能量,直接作用于软组织,有很好的止血效果,创面不会产生结痂区。可有效消炎灭菌,清扫肉芽和炎症组织,消肿止痛。

针对症状:根尖周炎、牙周袋等

优势:消炎灭菌,温和无痛

推荐技术: 水镭射控制炎症

严重型牙周病导致牙齿脱落治疗方案

数字化种植牙

菲特口腔引进3D打印数字化导板,这项设备能帮助医生获取患者口腔的三维数据,并直接在电脑上进行术前设计、模拟植牙效果。患者在术前即可看到自己植牙后的效果。使种植牙更安全、精确、微创,成功率更高..【详细】

针对症状:重度牙周病、牙齿严重松动、牙齿脱落等

优势:牙齿重建、快速恢复咀爵力

推荐技术: 数字化种植

————— 牙周健康,牙齿才健康! —————

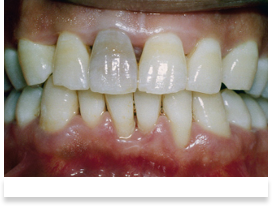
  • 治疗前

  • 治疗后

黄女士 46岁

患者自述:牙周病越早治疗效果越好

牙龈经常流血,牙齿也很敏感,没想到是牙周病,医生说治疗算及时,预后效果会不错!

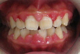
  • 治疗前

  • 治疗后

张先生 43岁

患者自述:牙周病不能拖啊

爱抽烟,晚上从不刷牙,老伴总嫌我口臭,大牙掉了很多颗,牙周病还是早治好!

我也要治牙周病+

————— 医生专业,治疗更放心! —————

杨鸿颖 牙周病专科主任

中华口腔医学会会员

中华口腔医学会牙周专委会会员

咨询医生 了解详情